Biofisica

Al DFA sono attive le seguenti linee di ricerca in Biofisica:
- Microscopia e Nanoscopia ottica
- Spettroscopia FCS
- Meccanismi molecolari dei tumori
- Luminescenza
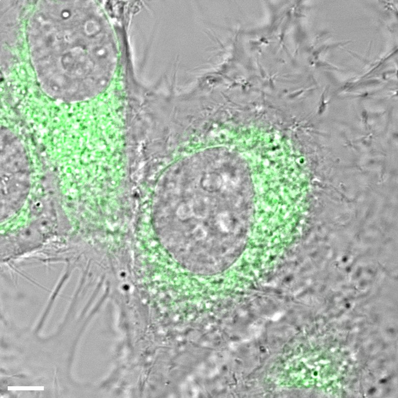
Microscopia e Nanoscopia Ottica
Docenti: Luca Lanzano’
La microscopia ottica è una tecnica non invasiva per studiare strutture e dinamiche cellulari che vanno da singole molecole a piccoli organismi. La ricerca è focalizzata sullo sviluppo di metodi avanzati di imaging a fluorescenza tra cui la microscopia a super-risoluzione (nanoscopia) e metodi risolti in tempo/spettrali (FLIM, Phasors, FRET).
Spettroscopia FCS
Docenti: Luca Lanzano’
La Fluorescence Correlation Spectroscopy (FCS) è una tecnica di singola molecola basata sull’analisi delle fluttuazioni spontanee dell’intensità di fluorescenza. La ricerca è focalizzata sullo sviluppo di metodi avanzati di correlazione (basati su FCS o tecniche analoghe) per lo studio di processi dinamici, come la diffusione e le interazioni molecolari all’interno di cellule viventi.
Meccanismi molecolari dei tumori
Docenti: Luca Lanzano’
Studio dei meccanismi molecolari all’origine del danno al DNA e della instabilità genomica dei tumori. Imaging ad alta risoluzione spaziale delle alterazioni nell’organizzazione della cromatina indotte da oncogene. Ricerca finanziata da AIRC.